科普知识
当前位置: 首页 > 科普公益 > 科普知识 > 正文
二院专家谈眼病丨眼底“长黄斑”,来看中医有啥好办法?
2024-11-11 来源:

美彩国际(美彩国际)眼十科(中医眼科)宿艳副主任、副主任中医师介绍说,在门诊上经常有病人来问:“医生,我眼底长 ‘黄斑’了怎么办?”那么什么是“黄斑”,下面就给大家简单介绍一下。

 

正常黄斑区

黄斑位于眼底视网膜中央,比周围颜色暗些,是每个人都有的正常眼底结构。通常说眼睛就像照相机,视网膜是胶卷,大脑接收光信号刺激,将信号转化成视觉图像在视网膜上。黄斑中央的凹陷叫中央凹,是视力最敏锐的地方,主要负责发挥视力功能,识别形状、大小、颜色、纵深、距离等大多数光学信号。任何累及黄斑区的病变都会引起中心视力的下降、视物色暗、变形等。

 

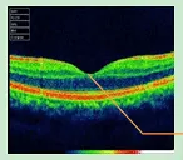
正常中心凹

宿艳副主任说,曾经有一位50岁的女性患者老年性黄斑变性引起黄斑水肿,当时患者诉说右眼看东西模糊,视物变形变小,眼前常有黑影浮现。多次抗VEGF治疗后,病情反复。发病10个月时来就诊,经中药、针刺治疗,期间抗VEGF治疗1次,半年后眼底好转。光学相干断层扫描(OCT)检查发现眼底还有出血,黄斑中心凹处高起水肿。经过3个多月的中药治疗,患者病情大有好转,水肿明显减轻,OCT检查可见黄斑水肿减轻。半年后水肿大部分消失,视力提高到0.4到0.6。 

 

治疗前,眼底见出血和水肿

老年性黄斑变性是常见的眼底病,发病年龄一般在50岁以上,本病的发病率呈逐年增高,临床上根据有无视网膜下脉络膜新生血管的生成而分为干性(萎缩性)和湿性(渗出型)两类,前者发病相对较多。引起该病的原因很多,其发病可能与遗传、代谢、慢性光损伤、营养不良、中毒、药物作用、免疫异常、高血压动脉硬化等都原因有关,目前大多数学者认为最直接的原因是多种原因复合作用导致视网膜色素上皮的代谢功能衰退。宿副主任医师指出,老年性黄斑变性的治疗要视病因而定,整体宏观辨证和局部微观辨证相结合,在促进出血、渗出、水肿减少或改善,视网膜屏障功能改善等方面优势显著。目前西医对老年性黄斑变性黄斑水肿主要采取抗VEGF(新生血管内皮生长因子)药物治疗及视网膜激光光凝治疗,可减少视网膜缺血缺氧区,降低新生血管及其渗出所导致的视力损害。

 

中西医结合治疗半年后,结构基本正常纯中药治疗黄斑囊样水肿效果虽好,却有一定的局限性,除非是依从性好的患者,否则很容易半途而废。如果辨证不得法,疗效也会受影响。而单独用抗VEGF药物治疗,容易使病情拖延,影响视功能的恢复。一方面用抗VEGF药物迅速减少眼内VEGF的浓度,另一方面中医中药辨证治疗,降低血液粘稠度,抑制水肿,改善微循环和视网膜内外屏障,降低微血管病变的可能性。两者优势互补,标本兼治,既可以减少抗VEGF药物的使用次数,又能降低治疗的成本。

 

 

专家简介:

宿 艳:

中医眼科副主任、副主任医师。济南市青年名中医,师从全国名老中医王静波教授,师承于“山东省五级师承名中医药专家”郭霞教授。主要研究青光眼视神经保护性治疗、葡萄膜炎、病毒性角膜炎、眼底出血、黄斑病变、小儿近视弱视、眼肌麻痹等疾病的中医、中西医结合治疗。主要研究成果:参加科研课题5项,获市科学技术三等奖1项、获省保健科学技术一等奖1项。在省级及以上医学期刊发表论文多篇,出版著作1部。

专家门诊时间:周一上午 周三、四下午

 

专家简介:

周江霞:

美彩国际(美彩国际)眼十科(中医眼科)主治医师,硕士研究生,毕业于山东中医药大学,治疗专长:干眼症、视疲劳、病毒性角膜炎、老年性黄斑变性、糖尿病视网膜病变、视网膜静脉阻塞、视神经炎,缺血性视神经病变等各种眼底病的中西医诊治。

 

联系我们

地址:山东济南市经一路148号

邮编:250000

0531-87937581 (周一至周日,早7:30至晚20:00,法定节假日除外)

微信公众号

版权所有:美彩国际 美彩国际 鲁ICP备16010046号-1